Formation : le 16 et 17 avril 2026
Deux masterclass dédiées à la dentisterie esthétique
Perfectionnez votre maîtrise de l’éclaircissement dentaire, de l’érosion-infiltration et de la stratification des composites antérieurs afin d’obtenir des résultats esthétiques prévisibles et durables, avec Romain Ceinos.
Ce week-end de formation accréditée associe enseignements théoriques et mises en pratique autour de la gestion esthétique des dyschromies par les techniques d’éclaircissement et d’érosion-infiltration, ainsi que la stratification des composites antérieurs dans une approche restauratrice esthétique.
Date
Les 16 et 17 avril 2026
Lieu
Rue Paul Pastur 318, 7390 Quaregnon
Participer à :
1 jour ou les 2 jours
Tarifs
580€ – Pack 1 jour (uniquement le vendredi ou le samedi)
980€ – Pack 2 jours
Accréditation demandée
80UA
Une question ?
Contactez-nous, nous vous répondrons par e-mail.
A qui s’adresse cette formation ?
- Aux chirurgiens-dentistes souhaitant perfectionner leurs protocoles d’éclaircissement dentaire et d’érosion-infiltration.
- Aux praticiens souhaitant approfondir les techniques de stratification des composites antérieurs dans une approche esthétique globale.
Présentation et structure de la formation du jour 1 : L’éclaircissement et l'érosion-infiltration
Jour 1 – 16 avril 2026
Matin : Conférence – L’éclaircissement dentaire, le point de départ d’un beau sourire.
- Évolution et bases scientifiques de l’éclaircissement dentaire (depuis Haywood, 1989).
- Actualisation des protocoles d’éclaircissement.
- Apports des technologies numériques dans la planification et la logistique des traitements.
- Pronostic de l’éclaircissement grâce aux spectrophotomètres.
- Conception des gouttières, choix des produits et concentrations.
- Place de la microabrasion et cadre réglementaire en pratique actuelle.
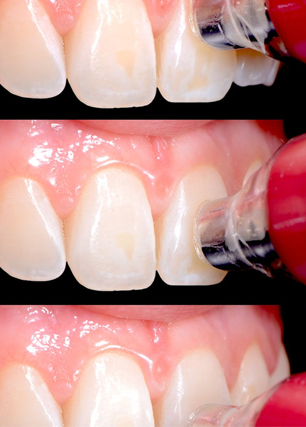
Après-midi : Conférence – L’érosion-infiltration contemporaine, une méthode efficiente au service de la conservation tissulaire
- Principes et évolution de l’érosion-infiltration.
- Mécanismes biologiques et cliniques de chaque étape de l’érosion-infiltration.
- Prise en charge des hypominéralisations amélaires en secteur antérieur.
- Algorithme décisionnel basé sur le diagnostic initial.
- Gestion des différentes typologies de taches de l’émail.
- Application clinique immédiate : protocoles reproductibles et directement transposables au cabinet.
Présentation et structure de la formation du jour 2 : La stratification des composites antérieurs
Jour 2 – 17 avril 2026
- Fondamentaux de la couleur : Observer et analyser pour une meilleure restitution esthétique
- Outils et planification : Choisir les bons outils et organiser une charte colorimétrique efficace
- Gestion de l’interface de collage : Optimiser l’interface de collage d’un point de vue optique et technique
- Limites et perspectives : Identifier les défis et évolutions en dentisterie esthétique
- Atelier pratique : Réalisation d’une clef palatine en silicone et restauration d’une fracture d’angle sur une incisive centrale maxillaire par stratification de résines composites
Objectifs de la formation
- Acquérir une maîtrise solide des fondamentaux et affiner le diagnostic.
- Comprendre l’évolution des techniques d’éclaircissement en intégrant les bases scientifiques et l’utilisation de la spectrophotométrie pour établir un pronostic chromatique précis.
- Sélectionner de manière pertinente l’arsenal thérapeutique, en fonction des indications cliniques.
- Maîtriser les outils et les produits : choisir les concentrations adaptées, concevoir des gouttières optimisées et intégrer les flux numériques dans l’organisation du traitement.
- Appliquer des protocoles cliniques de conservation, respectueux des tissus dentaires.
- Prendre en charge les dyschromies de l’émail en maîtrisant les techniques de micro-abrasion et d’érosion-infiltration, à travers des protocoles reproductibles et économes en tissus.
- Comprendre la couleur dentaire : Définition et principes fondamentaux
- Maîtriser les outils : sélectionner et utiliser les dispositifs adaptés à chaque situation.
- Réaliser des restaurations esthétiques : Appliquer la technique de stratification directe pour un résultat colorimétrique optimal
Avantage fidélité
Pour toute inscription confirmée à notre masterclass, bénéficiez :
- d'une remise de 10 % sur une autre formation BKB Academy
- ou d’une remise de 20 % en cas d’inscription simultanée à deux formations supplémentaires
Avantage fidélité
Pour toute inscription confirmée à notre masterclass, bénéficiez :
- d'une remise de 10 % sur une autre formation BKB Academy
- ou d’une remise de 20 % en cas d’inscription simultanée à deux formations supplémentaires
Notre intervenant Romain Ceinos
- Romain Ceinos est un spécialiste reconnu en dentisterie esthétique.
- Il partage son expertise avec une approche centrée sur l’excellence clinique et l’intégration des dernières avancées en esthétique dentaire.
- Il transmet des techniques précises, reproductibles et directement applicables en pratique quotidienne.
- Son enseignement est orienté vers le développement professionnel et l’optimisation des résultats cliniques en cabinet.
Je suis intéressé et j'aimerais être recontacté
Formation certifiée par BKB Academy. Nous garantissons un matériel de pointe et un environnement d'apprentissage optimal.
J’ investis dans mon avenir professionnel !
Découvrez nos prochaines formations à ne pas manquer
Développez votre pratique à travers nos prochaines sessions de formation, conçues pour répondre aux enjeux concrets de la pratique des chirurgiens-dentistes.

La prothèse digitale
Session de formation dédiée à la prothèse amovible digitale dirigée par Rupert Monkhouse

Deux jours de masterclass sur la dentisterie esthétique
Maîtrisez l’éclaircissement dentaire, la gestion des dyschromies et la stratification des composites antérieurs avec Romain Ceinos.

Séminaire padel BKB Valence, ES
Un séminaire unique alliant formations professionnelles, padel et expérience humaine, dans un hôtel disposant de 15 terrains intérieurs/extérieurs.